uAI LinQ Lung
CT肺结节智能随访系统
一键配准,智能追踪结节生长变化
产品简介

联影智能CT肺结节智能随访系统基于图像配准和病灶跟踪两大核心技术,实现不同扫描协议、不同层厚、不同解剖结构图像的结节智能匹配。系统可自动量化并对比结节大小、体积、密度等临床关键参数,实现高一致性、高可靠性的病灶变化评估,助力肺结节精准随访诊断。

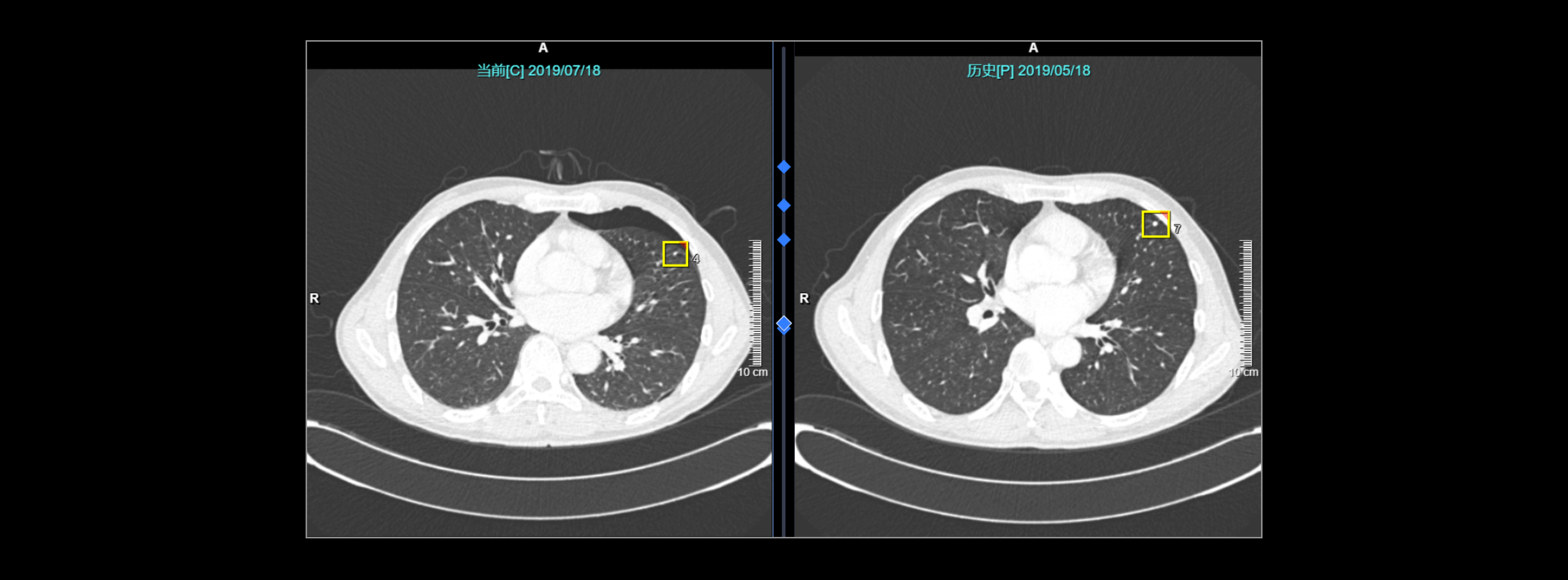
配准
全自动精准配准
评估
病灶变化评估
解剖发生变化仍可实现精确图像配准与结节关联匹配
解剖发生变化仍可实现精确图像配准与结节关联匹配
AI显示结节体积增大,且倍增时间符合肿瘤生长特性,病理结果为浸润性腺癌
肺结节随访分析助力浸润性腺癌诊断
AI显示结节体积增大,且倍增时间符合肿瘤生长特性,病理结果为浸润性腺癌 肺结节随访分析助力浸润性腺癌诊断
诊疗痛点

胸部CT检查患者数量在不断增加,导致医生在阅片和随访时也面临着巨大的工作量。而传统的随访流程需要医生手动调阅以往所有的老片,进行逐一的对比和分析,不仅费时费力还容易出错。

临床价值

CT肺结节智能筛查系统具备图像配准、病灶跟踪及随访管理等随访相关功能,可实现全自动精准配准,帮助医生更加灵活、高效地阅片,协助医生精准评估病情发展。

相关资讯
四川大学华西医院 助力基层地区早癌筛查

聚焦肺癌早筛,联影智能率先与四川大学华西医院合作,将联影智能CT肺结节智能筛查与随访系统、中国版Lung-RADS和肺结节良恶性预测评估系统搭载进智慧健康管理移动车,借助移动化优势将优质医疗资源送入基层区域的民众家门口,解决基层覆盖“低”、患者失访“多”等问题,助力肺癌基层防治工作。

联影医疗智慧健康管理移动车投入广安市使用
宁波大学附属人民医院 “新手AI”就职70年老牌医院

宁波大学附属人民医院放射科是宁波市最早引入CT的科室,尤其在肺结节的诊断上处于宁波市先进水平,每天的CT检查量可达500-600人。2019年,他们引入了联影智能CT肺结节智能筛查与随访系统,推动宁波大学附属人民医院与其11家下级医院实现同质化管理。

宁波大学附属人民医院放射科医生使用联影智能CT肺结节智能筛查系统
Copyright@2023 United Imaging Intelligence.ALL Rights Reserved.
沪ICP备2021013738号