作为临床最常见的症状之一,胸痛病因极为复杂,急性肺栓塞是致命性胸痛的病因之一。因为高发病率,高误诊、漏诊率,高死亡率以及高致残率的特点,肺栓塞具有「隐形杀手」的称号。
肺栓塞的早诊早治刻不容缓,联影智能研发业内首款CT肺栓塞人工智能分析系统,帮助医生及时分诊阳性肺栓塞患者,以及与其他病因的胸痛患者进行精准鉴别诊断。目前,该CT肺栓塞人工智能分析系统已成为联影智能推出的胸痛精准治疗一站式解决方案中的一环,以精准、快速、协同的优势,为胸痛患者争取黄金救治时间。

肺栓塞诊治:一场生死极速较量
肺栓塞(pulmonary embolism)是内源性或外源性栓子阻塞肺动脉引起肺循环功能障碍的临床和病理生理综合征。血栓栓塞肺动脉达一定程度后,导致肺血管阻力增加,右心室后负荷增加,肺动脉压力升高,可能引发左心室功能受损,引起体循环低血压和血流动力学不稳定或障碍。血栓可能不溶、机化、肺血管重构致血管狭窄或闭塞,导致肺血管阻力增加,肺动脉压力增高,最终可引起右心室肥厚和右心衰竭。急性肺栓塞临床表现多样,缺乏特异性,从轻者无症状到重者出现血流动力学不稳定,甚或猝死,非常凶险。
及时获得准确诊断和治疗对于肺栓塞患者而言至关重要。根据MedlinePlus的数据显示,目前美国每年该疾病发病率约60万人以上,死亡人数达20万,在临床死亡原因中居第三位;但在及时获得了准确诊断及治疗的病人中只有7%死亡,没有被考虑该疾病诊断的病人中60%死亡,其中33%在第1h内迅速死亡。
目前,CT肺动脉造影(CTPA)凭借高效无创,且能够准确显示肺动脉和心脏的形态学表现以及功能、预后等重要信息的优势,成为肺栓塞影像学检查首选。但现阶段的CT肺动脉造影(CTPA)诊断依旧存在痛点。传统的肺栓塞阳性分诊和鉴别诊断十分低效,难以满足急性胸痛诊疗中争分夺秒的需求;而由于肺动静脉的容积效应重叠,易将肺门和段间淋巴结误认为栓塞,且一些微小的栓塞也容易被忽视;此外,胶片打印需要前往工作站做手动重建、排列胶片归档打印,费时费力。
基于此,联影智能推出了CT肺栓塞人工智能分析系统,旨在通过AI技术辅助医生快速、精准地发现隐匿肺栓塞,使患者得到及时的治疗。
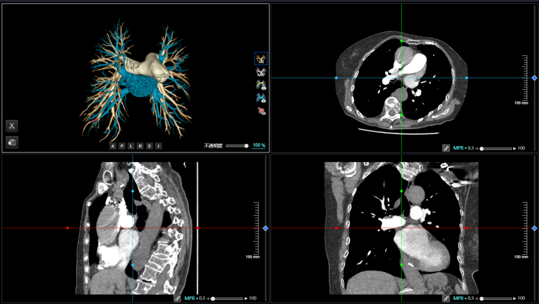
联影智能CT肺栓塞AI分析系统响应VTE防治三大目标
首先,该CT肺栓塞人工智能分析系统能够基于CTPA数据,快速分诊阳性肺栓塞患者,提示预警,并支持区分周围型肺栓塞和中央型肺栓塞,助力危急患者尽早进入诊疗环节。同时,支持一键智能分割、重建完整肺动脉和栓子,360°展示肺动脉走行和栓子分布位置,多种视图阅片。

同时,该CT肺栓塞人工智能分析系统也能够进行栓子高灵敏检出、解剖定位和量化分析,自动计算右心室和左心室直径比(RV/LV)和主肺动脉和升主动脉直径比(PA/Ao),以及精准计算血栓负荷分数(肺动脉栓塞指数),全面辅助诊疗,为肺栓塞的早期识别和临床风险分层提供强有力的智能工具。

随后,为简化工作流程,该CT肺栓塞人工智能分析系统还支持智能生成文本报告,自动生成归档图像,支持一键胶片打印,全方位优化工作流,大幅节省医生阅片时间。。
对于联影智能CT肺栓塞人工智能分析系统的研发与应用,复旦大学附属中山医院放射科的饶圣祥医生表示:“该CT肺栓塞人工智能分析系统帮助我们进行肺栓塞患者的快速分诊和栓子检出,是进行肺栓塞早期识别和临床风险分层强有力的智能工具,一键分割重建肺动脉,辅助医生精准高效诊断,优化诊疗流程,助力医院实现VTE防治的三大目标「保护患者安全、改善医疗质量、减少医疗纠纷」。”
融入胸痛精准治疗一站式解决方案,加速胸痛救治
包含急性肺栓塞在内,急性冠脉综合征(包括急性心肌梗死、不稳定型心绞痛)和急性主动脉夹层被合称为「胸痛三联征」。
对此,联影智能推出胸痛精准治疗一站式解决方案,包含CT肺栓塞人工智能分析系统、CTA主动脉智能分析系统、CTA冠脉智能分析系统三大AI应用,可实现基于一次胸部扫描,注射一次对比剂,即可获得冠状动脉、肺动脉及主动脉CTA图像,这为「胸痛三联征」的快速鉴别诊断提供了强劲有效的技术支持。
该方案一方面能够通过危重患者智能优先提示、患者信息直达胸痛救治小组等功能,加速患者分流和MDT救治协作;另一方面能够针对基层胸痛救治难题,紧密串联上下级救治单元,以AI技术托举胸痛「协同救治」新范式。

每一次胸痛救治,皆是一场以生死竞速为题的「拉锯战」。联影智能将继续以AI技术助力胸痛救治的「每一公里」,为基层重大疾病诊疗献「科技引擎」。






